インプラントの寿命は一生?「オールオン4」なら総入れ歯より安い?失敗しない歯科医の選び方と費用相場

日本におけるインプラント治療は、歯科医療技術の進歩とともにますます一般的な選択肢となっています。本記事では、インプラント治療の基本から最新技術、費用相場、よくある質問までを詳しく解説します。治療を検討されている方や興味のある方にとって、信頼できる情報源となることを目指しています。

インプラントと歯茎の構造模型を指差しおすすめする女性

インプラント治療とは?

歯科インプラント(デンタルインプラント)とは、失った歯の代わりに人工歯根を顎の骨に埋め込み、その上に人工の歯を装着する治療法です。従来の入れ歯やブリッジとは異なり、天然歯に近い見た目と機能性を回復できることが最大の特徴です。

インプラントの構造

インプラントは主に3つの部分から構成されています:

  1. インプラント体(フィクスチャー):チタン製のネジで、顎の骨に直接埋入されます

  2. アバットメント:インプラント体と人工歯を連結する部分

  3. 上部構造(人工歯):セラミックやジルコニアなどで作られた被せ物

インプラントの基本的な構造(イメージ図)

日本におけるインプラント治療の特徴

日本のインプラント治療には以下のような特徴があります:

  • 高度な技術基準:日本歯科医師会や日本口腔インプラント学会による厳格なガイドラインが存在

  • 品質管理:使用されるインプラントは国内承認品が主流で安全性が高い

  • 精密さ:日本の歯科技工士の技術力は世界トップクラス

  • 術前検査の充実:CTスキャンや3Dシミュレーションを用いた精密な治療計画

日本で使用される主なインプラントメーカー

メーカー名

特徴

原産国

ノーベルバイオケア

世界シェアトップ、豊富な臨床データ

スウェーデン

ストローマン

高い初期安定性、スイス品質

スウェーデン

アストラテック

優れた生体親和性

スウェーデン

メガゲン

韓国製、コストパフォーマンスに優れる

韓国

京セラ

日本製、独自の表面処理技術

日本

インプラント治療の適応とメリット・デメリット

インプラント治療が適している場合

  • 1本だけ歯を失った場合(単独欠損)

  • 連続して複数の歯を失った場合(連続欠損)

  • 総入れ歯が合わない、安定しない場合

  • 審美性を重視する場合

  • 咀嚼機能を大幅に改善したい場合

インプラントの主なメリット

  1. 天然歯に近い咀嚼力:入れ歯に比べて噛む力が格段に向上

  2. 周囲の歯を削らない:ブリッジのように隣の健康な歯を削る必要がない

  3. 骨の吸収を防ぐ:顎の骨が痩せるのを抑制できる

  4. 審美性の高さ:自然な見た目を再現可能

  5. 長期耐用性:適切なメンテナンスで10年以上持続可能

インプラントのデメリットとリスク

  1. 外科手術が必要:抜歯程度の小手術が必要

  2. 治療期間が長い:骨と結合する期間が必要(3-6ヶ月)

  3. 費用が高額:健康保険が適用されない自由診療

  4. 合併症の可能性:感染症やインプラント周囲炎のリスク

  5. 適応制限:骨量不足や全身疾患がある場合には治療不可のことも

インプラント治療の流れ(標準的なケース)

日本での一般的なインプラント治療の流れを解説します:

  1. 初診相談・検査

    • 口腔内診査

    • レントゲン・CT検査

    • 全身健康状態の確認

    • 治療計画の立案

  2. 事前治療(必要な場合)

    • 歯周病治療

    • 虫歯治療

    • 骨移植(GBR)やサイナスリフト(上顎の場合)

  3. 一次手術(インプラント埋入手術)

    • 局部麻酔下で実施

    • 手術時間:1本あたり30分~1時間

    • 抜歯即時埋入可能な場合も

  4. 治癒期間(オッセオインテグレーション)

    • 下顎:2-3ヶ月

    • 上顎:3-6ヶ月

    • この間は仮歯を使用

  5. 二次手術(アバットメント連結)

    • 歯肉を開いてアバットメントを装着

    • 1週間後の治癒を待つ

  6. 型取り・人工歯製作

    • 印象採得

    • 技工所で人工歯を製作(1-2週間)

  7. 人工歯装着・メンテナンス

    • 調整後、最終固定

    • 定期メンテナンス開始

インプラント治療の費用相場(日本)

インプラント治療は自由診療(保険外診療)のため、クリニックによって費用に差があります。以下は東京・大阪などの都市部を中心とした相場です:

1本あたりの総費用内訳

項目

費用相場

備考

診察・検査料

5,000~30,000円

CT検査含む

インプラント体

150,000~350,000円

メーカー・種類による

アバットメント

30,000~100,000円

標準品からオーダメードまで

上部構造(人工歯)

80,000~200,000円

材質(セラミック・ジルコニア等)による

手術料

50,000~150,000円

症例の難易度による

その他(骨移植等)

50,000~300,000円

必要な場合のみ

合計

300,000~800,000円

1本あたり

費用に影響する要因

  1. インプラントのメーカー:海外メーカーと国産では差があります

  2. 治療の難易度:骨量不足など追加処置が必要な場合費用が増加

  3. 人工歯の材質:ジルコニアは高価だが審美性に優れる

  4. クリニックの立地:都市部は郊外より高めの傾向

  5. 医師の経験:豊富な症例経験のある医師は費用が高め

インプラント治療の成功率と寿命

日本のインプラント治療成功率

日本のインプラント治療の成功率は、適切な適応症例において以下の通りです:

期間

成功率

1年後

97-99%

5年後

90-95%

10年後

85-90%

※日本口腔インプラント学会調べ(2022年)

インプラントの寿命を延ばす要因

  1. 適切な口腔ケア:日常のブラッシングと専門的メンテナンス

  2. 禁煙:喫煙はインプラント周囲炎のリスクを3-5倍に増加

  3. 定期検診:3-6ヶ月に1回のプロフェッショナルケア

  4. 咬合管理:過度な力がかからないように調整

  5. 全身健康管理:糖尿病などのコントロール

インプラント治療のQ&A

Q1: インプラント治療は痛いですか?

A: 手術は局部麻酔下で行うため、術中の痛みはほとんどありません。術後1-3日程度の腫れや鈍痛はありますが、鎮痛剤でコントロール可能です。最近ではレーザーを使用した低侵襲手術も普及しています。

Q2: どのくらいの年齢までインプラント治療を受けられますか?

A: 骨の成長が終了した18歳以上から可能で、上限年齢は特にありません。80代以上の症例も報告されています。重要なのは年齢ではなく、全身状態と骨の状態です。

Q3: インプラント治療に健康保険は適用されますか?

A: 一般的なインプラント治療は自由診療(保険適用外)ですが、以下の場合は保険適用となることがあります:

  • 顎骨腫瘍などで広範囲の顎骨切除を行った場合

  • 先天異常(口蓋裂など)による欠損

  • 特定の疾患による外傷性歯牙脱臼

Q4: インプラント治療にどれくらいの期間がかかりますか?

A: 標準的なケースで3-8ヶ月かかります。骨移植が必要な場合はさらに3-6ヶ月延びることも。ただし、即時荷重インプラントなど特殊なケースでは短期間で終わる場合もあります。

Q5: 金属アレルギーでもインプラント治療は受けられますか?

A: チタンは生体親和性が極めて高く、金属アレルギーの方でも問題ない場合がほとんどです。ただし、事前にパッチテストを行うことをおすすめします。

Q6: インプラント治療後、MRI検査は受けられますか?

A: ほとんどのインプラントはチタン製でMRI検査に影響しません。ただし、一部の磁性アバットメントを使用している場合は医師に申し出てください。

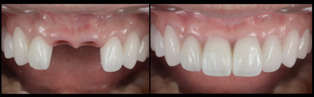
インプラント治療の成功事例

症例紹介:前歯部単独欠損の60代男性

治療前の状態:

  • 上顎前歯部の外傷による欠損(2本)

  • 従来はブリッジで対応していたが、支台歯に負担がかかるためインプラントを希望

  • 骨量は十分あり、全身状態も良好

治療内容:

  1. CT検査による精密診断

  2. ノーベルバイオケアインプラント(直径3.5mm、長さ13mm)を埋入

  3. 即時仮歯を装着(審美ゾーンのため)

  4. 4ヶ月後にジルコニア製アバットメントとセラミッククラウンを装着

治療結果:

  • 天然歯と見分けがつかない自然な審美性を獲得

  • 咬合機能が完全に回復

  • 治療期間:5ヶ月

  • 治療費用:約450,000円(税別)

治療前後の比較:

左:治療前 右:治療後

インプラント治療後のメンテナンス

インプラントを長持ちさせるためには、治療後のケアが極めて重要です。

自宅で行うケア

  1. 適切なブラッシング:インプラント専用ブラシの使用が推奨

  2. デンタルフロス・インターデンタルブラシ:歯間部の清掃

  3. 洗口剤の使用:インプラント周囲炎予防

  4. 禁煙:喫煙はインプラントの寿命を縮める最大のリスク因子

プロフェッショナルケア

  • 定期検診の頻度:3-6ヶ月に1回

  • 検査内容:

    • インプラントの動揺度検査

    • プロービングデプスの測定

    • レントゲン検査(必要に応じて)

    • 専門的なクリーニング

インプラント治療の最新技術

日本のインプラント治療では、以下のような先進技術が導入されつつあります:

  1. ガイドサージェリー:3Dプリントした手術ガイドを使用し、より正確な埋入位置を実現

  2. 即時荷重インプラント:条件が合えば手術当日に仮歯を装着可能

  3. ジルコニアインプラント:金属アレルギー対応として開発が進む

  4. AIを用いた治療計画:CTデータから最適な埋入位置をAIが提案

  5. 幹細胞を用いた骨再生:将来的に骨移植不要の治療が可能に

インプラント治療を検討中の方へ

インプラント治療は、歯を失った方の生活の質(QOL)を大幅に改善できる優れた治療法です。しかし、以下のポイントをよく考慮して決断することが重要です:

  1. 複数の歯科医院で相談:セカンドオピニオンを活用

  2. 医師の経験症例数を確認:特に審美領域は技術が求められる

  3. 費用の明確化:トータル費用と支払い方法を事前に確認

  4. アフターケアの体制:長期メンテナンスが可能な医院を選択

  5. 自分の健康状態の把握:全身疾患がある場合は主治医と相談

日本には優れたインプラント専門医が多数います。本記事が、皆様が適切な治療選択をするための一助となれば幸いです。

インプラント治療に関するさらに詳しい情報や個別の相談は、日本口腔インプラント学会認定医などの専門医に直接お問い合わせください。

インプラントの寿命は一生?「オールオン4」なら総入れ歯より安い?失敗しない歯科医の選び方と費用相場

日本におけるインプラント治療は、歯科医療技術の進歩とともにますます一般的な選択肢となっています。本記事では、インプラント治療の基本から最新技術、費用相場、よくある質問までを詳しく解説します。治療を検討されている方や興味のある方にとって、信頼できる情報源となることを目指しています。

インプラントと歯茎の構造模型を指差しおすすめする女性

インプラント治療とは?

歯科インプラント(デンタルインプラント)とは、失った歯の代わりに人工歯根を顎の骨に埋め込み、その上に人工の歯を装着する治療法です。従来の入れ歯やブリッジとは異なり、天然歯に近い見た目と機能性を回復できることが最大の特徴です。

インプラントの構造

インプラントは主に3つの部分から構成されています:

  1. インプラント体(フィクスチャー):チタン製のネジで、顎の骨に直接埋入されます

  2. アバットメント:インプラント体と人工歯を連結する部分

  3. 上部構造(人工歯):セラミックやジルコニアなどで作られた被せ物

インプラントの基本的な構造(イメージ図)

日本におけるインプラント治療の特徴

日本のインプラント治療には以下のような特徴があります:

  • 高度な技術基準:日本歯科医師会や日本口腔インプラント学会による厳格なガイドラインが存在

  • 品質管理:使用されるインプラントは国内承認品が主流で安全性が高い

  • 精密さ:日本の歯科技工士の技術力は世界トップクラス

  • 術前検査の充実:CTスキャンや3Dシミュレーションを用いた精密な治療計画

日本で使用される主なインプラントメーカー

メーカー名

特徴

原産国

ノーベルバイオケア

世界シェアトップ、豊富な臨床データ

スウェーデン

ストローマン

高い初期安定性、スイス品質

スウェーデン

アストラテック

優れた生体親和性

スウェーデン

メガゲン

韓国製、コストパフォーマンスに優れる

韓国

京セラ

日本製、独自の表面処理技術

日本

インプラント治療の適応とメリット・デメリット

インプラント治療が適している場合

  • 1本だけ歯を失った場合(単独欠損)

  • 連続して複数の歯を失った場合(連続欠損)

  • 総入れ歯が合わない、安定しない場合

  • 審美性を重視する場合

  • 咀嚼機能を大幅に改善したい場合

インプラントの主なメリット

  1. 天然歯に近い咀嚼力:入れ歯に比べて噛む力が格段に向上

  2. 周囲の歯を削らない:ブリッジのように隣の健康な歯を削る必要がない

  3. 骨の吸収を防ぐ:顎の骨が痩せるのを抑制できる

  4. 審美性の高さ:自然な見た目を再現可能

  5. 長期耐用性:適切なメンテナンスで10年以上持続可能

インプラントのデメリットとリスク

  1. 外科手術が必要:抜歯程度の小手術が必要

  2. 治療期間が長い:骨と結合する期間が必要(3-6ヶ月)

  3. 費用が高額:健康保険が適用されない自由診療

  4. 合併症の可能性:感染症やインプラント周囲炎のリスク

  5. 適応制限:骨量不足や全身疾患がある場合には治療不可のことも

インプラント治療の流れ(標準的なケース)

日本での一般的なインプラント治療の流れを解説します:

  1. 初診相談・検査

    • 口腔内診査

    • レントゲン・CT検査

    • 全身健康状態の確認

    • 治療計画の立案

  2. 事前治療(必要な場合)

    • 歯周病治療

    • 虫歯治療

    • 骨移植(GBR)やサイナスリフト(上顎の場合)

  3. 一次手術(インプラント埋入手術)

    • 局部麻酔下で実施

    • 手術時間:1本あたり30分~1時間

    • 抜歯即時埋入可能な場合も

  4. 治癒期間(オッセオインテグレーション)

    • 下顎:2-3ヶ月

    • 上顎:3-6ヶ月

    • この間は仮歯を使用

  5. 二次手術(アバットメント連結)

    • 歯肉を開いてアバットメントを装着

    • 1週間後の治癒を待つ

  6. 型取り・人工歯製作

    • 印象採得

    • 技工所で人工歯を製作(1-2週間)

  7. 人工歯装着・メンテナンス

    • 調整後、最終固定

    • 定期メンテナンス開始

インプラント治療の費用相場(日本)

インプラント治療は自由診療(保険外診療)のため、クリニックによって費用に差があります。以下は東京・大阪などの都市部を中心とした相場です:

1本あたりの総費用内訳

項目

費用相場

備考

診察・検査料

5,000~30,000円

CT検査含む

インプラント体

150,000~350,000円

メーカー・種類による

アバットメント

30,000~100,000円

標準品からオーダメードまで

上部構造(人工歯)

80,000~200,000円

材質(セラミック・ジルコニア等)による

手術料

50,000~150,000円

症例の難易度による

その他(骨移植等)

50,000~300,000円

必要な場合のみ

合計

300,000~800,000円

1本あたり

費用に影響する要因

  1. インプラントのメーカー:海外メーカーと国産では差があります

  2. 治療の難易度:骨量不足など追加処置が必要な場合費用が増加

  3. 人工歯の材質:ジルコニアは高価だが審美性に優れる

  4. クリニックの立地:都市部は郊外より高めの傾向

  5. 医師の経験:豊富な症例経験のある医師は費用が高め

インプラント治療の成功率と寿命

日本のインプラント治療成功率

日本のインプラント治療の成功率は、適切な適応症例において以下の通りです:

期間

成功率

1年後

97-99%

5年後

90-95%

10年後

85-90%

※日本口腔インプラント学会調べ(2022年)

インプラントの寿命を延ばす要因

  1. 適切な口腔ケア:日常のブラッシングと専門的メンテナンス

  2. 禁煙:喫煙はインプラント周囲炎のリスクを3-5倍に増加

  3. 定期検診:3-6ヶ月に1回のプロフェッショナルケア

  4. 咬合管理:過度な力がかからないように調整

  5. 全身健康管理:糖尿病などのコントロール

インプラント治療のQ&A

Q1: インプラント治療は痛いですか?

A: 手術は局部麻酔下で行うため、術中の痛みはほとんどありません。術後1-3日程度の腫れや鈍痛はありますが、鎮痛剤でコントロール可能です。最近ではレーザーを使用した低侵襲手術も普及しています。

Q2: どのくらいの年齢までインプラント治療を受けられますか?

A: 骨の成長が終了した18歳以上から可能で、上限年齢は特にありません。80代以上の症例も報告されています。重要なのは年齢ではなく、全身状態と骨の状態です。

Q3: インプラント治療に健康保険は適用されますか?

A: 一般的なインプラント治療は自由診療(保険適用外)ですが、以下の場合は保険適用となることがあります:

  • 顎骨腫瘍などで広範囲の顎骨切除を行った場合

  • 先天異常(口蓋裂など)による欠損

  • 特定の疾患による外傷性歯牙脱臼

Q4: インプラント治療にどれくらいの期間がかかりますか?

A: 標準的なケースで3-8ヶ月かかります。骨移植が必要な場合はさらに3-6ヶ月延びることも。ただし、即時荷重インプラントなど特殊なケースでは短期間で終わる場合もあります。

Q5: 金属アレルギーでもインプラント治療は受けられますか?

A: チタンは生体親和性が極めて高く、金属アレルギーの方でも問題ない場合がほとんどです。ただし、事前にパッチテストを行うことをおすすめします。

Q6: インプラント治療後、MRI検査は受けられますか?

A: ほとんどのインプラントはチタン製でMRI検査に影響しません。ただし、一部の磁性アバットメントを使用している場合は医師に申し出てください。

インプラント治療の成功事例

症例紹介:前歯部単独欠損の60代男性

治療前の状態:

  • 上顎前歯部の外傷による欠損(2本)

  • 従来はブリッジで対応していたが、支台歯に負担がかかるためインプラントを希望

  • 骨量は十分あり、全身状態も良好

治療内容:

  1. CT検査による精密診断

  2. ノーベルバイオケアインプラント(直径3.5mm、長さ13mm)を埋入

  3. 即時仮歯を装着(審美ゾーンのため)

  4. 4ヶ月後にジルコニア製アバットメントとセラミッククラウンを装着

治療結果:

  • 天然歯と見分けがつかない自然な審美性を獲得

  • 咬合機能が完全に回復

  • 治療期間:5ヶ月

  • 治療費用:約450,000円(税別)

治療前後の比較:

左:治療前 右:治療後

インプラント治療後のメンテナンス

インプラントを長持ちさせるためには、治療後のケアが極めて重要です。

自宅で行うケア

  1. 適切なブラッシング:インプラント専用ブラシの使用が推奨

  2. デンタルフロス・インターデンタルブラシ:歯間部の清掃

  3. 洗口剤の使用:インプラント周囲炎予防

  4. 禁煙:喫煙はインプラントの寿命を縮める最大のリスク因子

プロフェッショナルケア

  • 定期検診の頻度:3-6ヶ月に1回

  • 検査内容:

    • インプラントの動揺度検査

    • プロービングデプスの測定

    • レントゲン検査(必要に応じて)

    • 専門的なクリーニング

インプラント治療の最新技術

日本のインプラント治療では、以下のような先進技術が導入されつつあります:

  1. ガイドサージェリー:3Dプリントした手術ガイドを使用し、より正確な埋入位置を実現

  2. 即時荷重インプラント:条件が合えば手術当日に仮歯を装着可能

  3. ジルコニアインプラント:金属アレルギー対応として開発が進む

  4. AIを用いた治療計画:CTデータから最適な埋入位置をAIが提案

  5. 幹細胞を用いた骨再生:将来的に骨移植不要の治療が可能に

インプラント治療を検討中の方へ

インプラント治療は、歯を失った方の生活の質(QOL)を大幅に改善できる優れた治療法です。しかし、以下のポイントをよく考慮して決断することが重要です:

  1. 複数の歯科医院で相談:セカンドオピニオンを活用

  2. 医師の経験症例数を確認:特に審美領域は技術が求められる

  3. 費用の明確化:トータル費用と支払い方法を事前に確認

  4. アフターケアの体制:長期メンテナンスが可能な医院を選択

  5. 自分の健康状態の把握:全身疾患がある場合は主治医と相談

日本には優れたインプラント専門医が多数います。本記事が、皆様が適切な治療選択をするための一助となれば幸いです。

インプラント治療に関するさらに詳しい情報や個別の相談は、日本口腔インプラント学会認定医などの専門医に直接お問い合わせください。